現年31歲的前落選港姐李清心(Katarina)自2017年參選後未有加入電視台,轉戰網絡界成功轉型為人氣KOL。她於2023年順利誕下一子後,近日再度向外界公佈懷上第二胎的喜訊,不過在期間竟有出血的驚險情況,令她十分擔心,幸好最後胎兒平安,引起網上熱討!
李清心宣佈懷上第二胎
李清心日前在Instagram上宣佈懷上第二胎,再次做媽媽,不過在懷孕初期,竟然有出血的驚險情況。她透露當時得知自己懷孕後,便興奮地向媽媽及親朋好友公布喜訊,怎料之後下體流出暗紅色分泌物,疑似出現流產跡象,她立刻到醫院求醫,但卻因為懷孕周數太小,根本檢查不出來。
懷孕初期下體流血
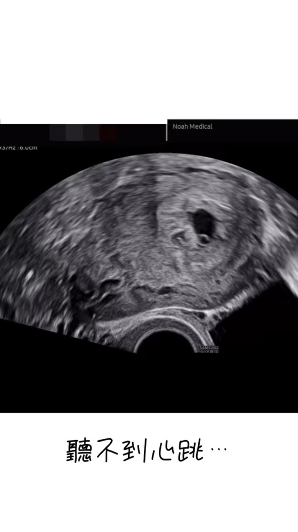
李清心只好耐心等待一星期後再檢查,不過等待的期間就令Katarina十分煎熬:「可惜(懷孕)周數太細喇,乜嘢都照唔到,聽唔到心跳,唯有休息一個禮拜等下次覆診睇吓有冇心跳啦。呢個禮拜真係好漫長,心情跌落谷底。」而她更晒出染有啡血及鮮血的衛生巾,表示持續有出血情況。
晒染血衛生巾驚現流產跡象
幸好經過充足的休息後,流血的情況終於停止,雖然目前BB的月份仍不大,不過她已經可以安心宣佈再度榮升人母好消息:「2026年,我又要做媽媽喇!」不少網民都在留言區祝福Katarina可以平安生產,紛紛慨嘆母親的偉大:「媽媽真係好偉大🥹」、「恭喜晒你呀❤️😍上天會保佑你的」、「一定會健康快樂😘」






